Anatomie van de wervels van het paard

Rugproblemen: Artrose van de facetgewrichten


De facetgewrichten zijn kleine synoviale gewrichten. Ze bestaan uit de facetvleugels van de opeenvolgende wervels en worden omgeven door een gewrichtskapsel. Net zoals alle andere gewrichten kunnen ook de facetgewrichten in de rug artrose ontwikkelen. Artrose is een degeneratieve aandoening van de gewrichten. Het ontstaat meestal als gevolg van slijtage van het kraakbeen van het gewricht. Dat er sprake is van artrose in een gewricht betekent echter niet dat dit gewricht altijd pijnlijk is. Bij paarden zien we met name artrose van de facetgewrichten ter hoogte van de overgang van borst- naar lendenwervels en in de lendenen.


Foto: Anatomie van de wervels van het paard

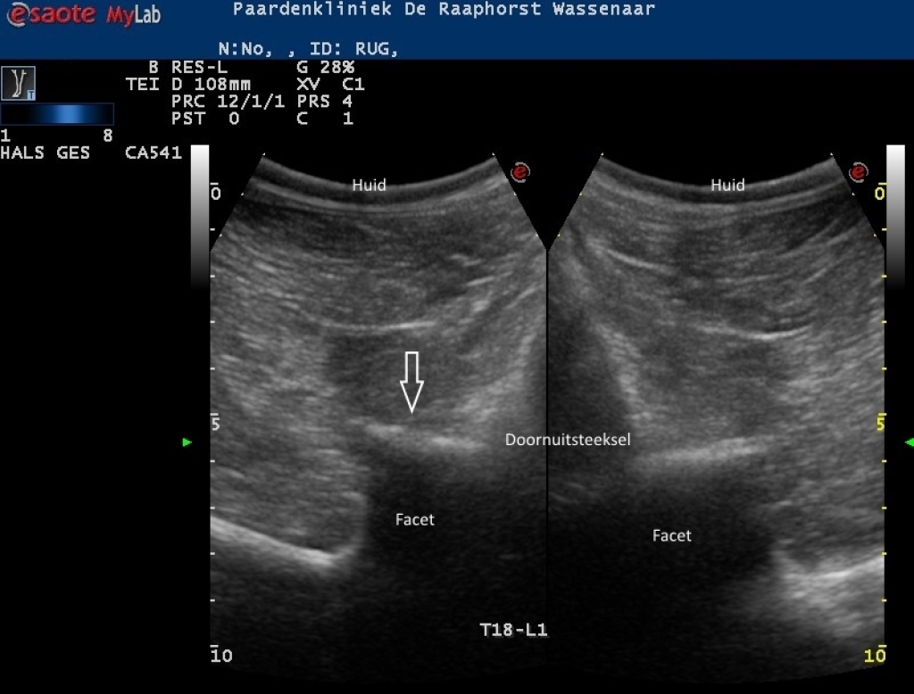
Links: Echografisch beeld van normale facetgewrichten van de borstwervels

Rechts: Echografische beeld van normale facetgewricht van de lendenwervels

Echografisch beeld van normale facetgewrichten van de borstwervels
Echografische beeld van normale facetgewricht van de lendenwervels
De facetgewrichten van de borst- en lendenwervels

Hoe ontstaat facetgewrichtsartrose in de rug?


Artrose van de facetgewrichten in de rug ontstaat meestal als gevolg van slijtage. Het kan echter ook ontstaan als gevolg van een ontwikkelingsstoornis van de facetgewrichten, bijvoorbeeld door een afwijkende vorm van het gewricht. Ook kan het ontstaan als gevolg van een trauma, bijvoorbeeld door een val.


Foto: De facetgewrichten van de borst- en lendenwervels

Symptomen van artrose in de rug

Artrose van de facetgewrichten in de rug hoeft lang niet altijd tot klachten te leiden. Veel paarden met artrotische veranderingen functioneren dan ook prima. Meestal merken we een pijnlijkheid op in de rug die zich uit in:
– moeite met nageven
– moeite met zijgangen
– verminderd buigen en strekken van de rug, dus verminderde galoppade
– verminderde rugvering en een gevoelige rug bij palpatie.


Diagnose van artrose van de facetgewrichten in de rug

De diagnose van artrose is te stellen door middel van röntgenologisch en echografisch onderzoek. Met röntgenopnames kunnen we de gehele wervelkolom in beeld brengen inclusief de facetgewrichten. Op de röntgenopnames worden beide facetgewrichten, de linker en rechter, over elkaar heen geprojecteerd waardoor het lastig is om te onderscheiden welke kant er meer aangedaan is. Met behulp van het echografisch onderzoek kunnen we de facetgewrichten meer in detail bekijken en onderscheiden welke kant er meer aangedaan is.

Met behulp van röntgenopnames van de rug kunnen we ook andere rugproblemen zoals kissing spines uitsluiten. Soms zullen we ook adviseren om het bekken echografisch te onderzoeken, dit doen we inwendig. Hiermee kunnen we het bekken en de overgang van lendenen naar heiligbeen (lumbosacraal overgang) en het SI gewricht onderzoeken.

Links: Röntgenopname van de facetgewrichten van de lendenen

Rechts: Het omcirkelde facetgewricht vertoont botnieuwvorming ten gevolge van artrose

Röntgenopname van de facetgewrichten van de lendenen
Het omcirkelde facetgewricht vertoont botnieuwvorming ten gevolge van artrose

Links: Echobeeld van een licht artrotisch facetgewricht (links) op de thoracolumbale overgang

Rechts: Echobeeld van artrose van een facetgewricht in het lendengebied


Echobeeld van een licht artrotisch facetgewricht (links) op de thoracolumbale overgang
Echobeeld van artrose van een facetgewricht in het lendengebied

Behandeling van rug artrose

Het doel bij het behandelen van rug artrose is om de aangedane gewrichten tot rust te brengen zodat ze niet meer pijnlijk zijn en de beweeglijkheid weer terug te krijgen. Er zijn meerdere opties voor het behandelen van de artrose van de rug. Meestal kiezen wij er voor om de pijnlijke gewrichten onder echogeleiding te injecteren met ontstekingsremmers. Ook is het mogelijk om de gewrichten te behandelen met IRAP. Daarnaast kan het geven van een Biphosfonaten infuus  een goede aanvulling zijn, dit zorgt voor een afname van de botafbraak en stimuleert botopbouw en werkt goed en langdurig pijnstillend bij botpijn.

Vaak leidt pijn in de rug ook tot verkramping van de rugspieren. Met behulp van mesotherapie kunnen we de rugspieren laten ontspannen om te zorgen voor een soepelere en minder pijnlijke rug. Hierdoor zal ook de beweeglijkheid van de rug toenemen en kunnen de rugspieren getraind worden.

Chiropractie en fysiotherapie

Naast deze medicinale therapieën is ook fysiotherapie, (chiropractie) en de juiste manier van training zeer belangrijk om zo snel en goed mogelijk te kunnen revalideren. Door de rug met ontstekingsremmers te behandelen kunnen we ervoor zorgen dat het paard zijn rug beter kan bewegen en minder pijn ervaart. Met behulp van chiropractie en oefeningen (fysiotherapie) kunnen we de beweeglijkheid van de rug vergroten. De volgende stap is om de rug soepel te houden en de spieren te trainen voor meer stabiliteit van de wervelkolom. Hierdoor moet de rug soepel blijven en sterker worden. 

Klaar voor de beste zorg voor jouw paard?

Maak direct een afspraak voor persoonlijk advies van onze specialisten.